A adenoidectomia é um procedimento cirúrgico que demora aproximadamente 1 hora e é feito sob anestesia geral. Os pacientes permanecem no hospital durante o dia para observação. Pode ser necessário passar a noite após a cirurgia se ocorrer sangramento excessivo ou vômitos.
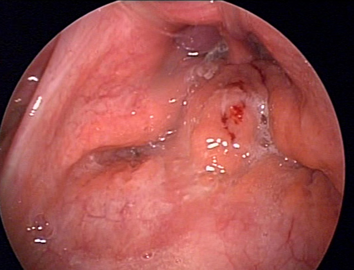
Atualmente meu método de escolha para a cirurgia da adenoide é por videoendoscopia, por dentro do nariz e da boca com visualização direta do tecido removido e pontos sangrantes. Alguns materiais especiais são utilizados na remoção da adenoide para garantirmos um menor sangramento e sua remoção completa, por exemplo: Shaver angulado (microdebridador), ponteira de Radiofrênquia.
Algumas recomendações devem ser seguidas no pós-operatório:
É indicada para alguns pacientes com amigdalites de repetição ou aumento das amígdalas. A cirurgia é realizada com anestesia geral, em centro cirúrgico hospitalar, sem cortes externo, por dentro da boca. Dura cerca de 1 hora e normalmente a alta é no mesmo dia. Pode ser necessário passar a noite após a cirurgia se ocorrer sangramento excessivo, muita dor ou pouca ingestão de líquidos.
A maioria dos pacientes precisam de 7 a 14 dias para se recuperar após a cirurgia.
Cuidados no pós-operatório:
Dor: quase a totalidade dos pacientes que passam pela amigdalectomia se queixam de dor na garganta! Adultos normalmente têm mais dores do que as crianças. Pode ocorrer dor no ouvido (dor reflexa), dor no pescoço ou na mandíbula.
A septoplastia (correção do desvio de septo) e a turbinectomia (diminuição do tamanho das conchas nasais) são realizadas em ambiente hospitalar, no centro cirúrgico, sob anestesia geral e demora cerca 2 horas. A cirurgia é realizada por via endonasal (por dentro do nariz) e sob visualização endoscópica, não permanecendo qualquer cicatriz na região externa do nariz.
Você pode receber alta hospitalar no mesmo dia ou no dia seguinte.
Frequentemente é realizado no mesmo tempo cirúrgico a turbinectomia, que é a diminuição das conchas inferiors.
Pós-operatório: Praticamente não há dor no pós-operatório, só um desconforto e intensa sensação de congestão nasal.
Splint Nasal: são pequenas estruturas plástica, em geral, feitas de silicone, colocados durante a cirurgia, paralelamente ao septo, para ajudar na sua fixação e cicatrização. Não incomodam. Habitualmente ficam no nariz entre 5 a 10 dias, para depois serem retirados no consultório.
A cirurgia nasal endoscópica para sinusite é realizada em Hospital, sob anestesia geral e demora cerca de 3 horas. A cirurgia é realizada por via endonasal (por dentro do nariz) e sob visualização endoscópica, não permanecendo qualquer cicatriz na região externa.
A uvulopalatofaringoplatia é um procedimento cirúrgico que demora aproximadamente 2 horas e é feito sob anestesia geral no hospital. Os pacientes permanecem no hospital durante o dia para observação. Pode ser necessário passar a noite após a cirurgia se ocorrer sangramento excessivo, muita dor ou pouca ingestão de líquidos.
A maioria dos pacientes precisa de 14 dias para se recuperar após a cirurgia.
Algumas recomendações devem ser seguidas:
Ingestão de líquidos e comidas: O mais importante para uma boa recuperação após a cirurgia é que o paciente tome muito líquido. Durante os primeiros 3 a 5 dias a ingestão deve ser exclusiva de líquidos e pastosos: sucos, refrigerantes, iogurte, pudim, sorvetes, vitaminas, farinha láctea com leite, alimentos batidos no liquidificador, sopas, purê, gelatina. Os alimentos devem ser consumidos frios ou temperatura ambiente. Após esse período, com a melhora da dor, a consistência dos alimentos pode aumentar progressivamente e se não houver dor, pode-se comer por exemplo: massas, feijão amassado, batata cozida, etc. Os alimentos duros e ásperos devem ser evitados por 10 dias.
Exercícios físicos: Deve-se evitar exercícios físicos por 30 dias após a cirurgias.
Uma placa branca de cicatrização ocorre após a cirurgia no local onde estavam as amígdalas. NÃO É INFECÇÃO!!!
Sangramento: pode ocorrer após a cirurgia, pequenos filetes de sangue na saliva podem ser encontrado. Caso ocorram sangramentos em grandes quantidades que não cessam expontaneamente contate imediatamente o seu medico e retorne ao hospital em que foi operado.
Dor: todos os pacientes que passam pelo procedimento se queixam de muita dor na garganta! Pode ocorrer dor no ouvido (dor reflexa), dor no pescoço ou na mandíbula. A dor mais intensa e começa a melhorar após 7 dias, com melhora total dentro de 14 a 20 dias. Faça uso dos analgésicos prescritos.
A adenoidectomia é um procedimento cirúrgico que demora aproximadamente 1 hora e é feito sob anestesia geral. Os pacientes permanecem no hospital durante o dia para observação. Pode ser necessário passar a noite após a cirurgia se ocorrer sangramento excessivo ou vômitos.
Atualmente meu método de escolha para a cirurgia da adenoide é por videoendoscopia, por dentro do nariz e da boca com visualização direta do tecido removido e pontos sangrantes. Alguns materiais especiais são utilizados na remoção da adenoide para garantirmos um menor sangramento e sua remoção completa, por exemplo: Shaver angulado (microdebridador), ponteira de Radiofrênquia.
Algumas recomendações devem ser seguidas no pós-operatório:
É indicada para alguns pacientes com amigdalites de repetição ou aumento das amígdalas. A cirurgia é realizada com anestesia geral, em centro cirúrgico hospitalar, sem cortes externo, por dentro da boca. Dura cerca de 1 hora e normalmente a alta é no mesmo dia. Pode ser necessário passar a noite após a cirurgia se ocorrer sangramento excessivo, muita dor ou pouca ingestão de líquidos.
A maioria dos pacientes precisam de 7 a 14 dias para se recuperar após a cirurgia.
Cuidados no pós-operatório:
Dor: quase a totalidade dos pacientes que passam pela amigdalectomia se queixam de dor na garganta! Adultos normalmente têm mais dores do que as crianças. Pode ocorrer dor no ouvido (dor reflexa), dor no pescoço ou na mandíbula.
A septoplastia (correção do desvio de septo) e a turbinectomia (diminuição do tamanho das conchas nasais) são realizadas em ambiente hospitalar, no centro cirúrgico, sob anestesia geral e demora cerca 2 horas. A cirurgia é realizada por via endonasal (por dentro do nariz) e sob visualização endoscópica, não permanecendo qualquer cicatriz na região externa do nariz.
Você pode receber alta hospitalar no mesmo dia ou no dia seguinte.
Frequentemente é realizado no mesmo tempo cirúrgico a turbinectomia, que é a diminuição das conchas inferiors.
Pós-operatório: Praticamente não há dor no pós-operatório, só um desconforto e intensa sensação de congestão nasal.
Splint Nasal: são pequenas estruturas plástica, em geral, feitas de silicone, colocados durante a cirurgia, paralelamente ao septo, para ajudar na sua fixação e cicatrização. Não incomodam. Habitualmente ficam no nariz entre 5 a 10 dias, para depois serem retirados no consultório.
A cirurgia nasal endoscópica para sinusite é realizada em Hospital, sob anestesia geral e demora cerca de 3 horas. A cirurgia é realizada por via endonasal (por dentro do nariz) e sob visualização endoscópica, não permanecendo qualquer cicatriz na região externa.
A uvulopalatofaringoplatia é um procedimento cirúrgico que demora aproximadamente 2 horas e é feito sob anestesia geral no hospital. Os pacientes permanecem no hospital durante o dia para observação. Pode ser necessário passar a noite após a cirurgia se ocorrer sangramento excessivo, muita dor ou pouca ingestão de líquidos.
A maioria dos pacientes precisa de 14 dias para se recuperar após a cirurgia.
Algumas recomendações devem ser seguidas:
Ingestão de líquidos e comidas: O mais importante para uma boa recuperação após a cirurgia é que o paciente tome muito líquido. Durante os primeiros 3 a 5 dias a ingestão deve ser exclusiva de líquidos e pastosos: sucos, refrigerantes, iogurte, pudim, sorvetes, vitaminas, farinha láctea com leite, alimentos batidos no liquidificador, sopas, purê, gelatina. Os alimentos devem ser consumidos frios ou temperatura ambiente. Após esse período, com a melhora da dor, a consistência dos alimentos pode aumentar progressivamente e se não houver dor, pode-se comer por exemplo: massas, feijão amassado, batata cozida, etc. Os alimentos duros e ásperos devem ser evitados por 10 dias.
Exercícios físicos: Deve-se evitar exercícios físicos por 30 dias após a cirurgias.
Uma placa branca de cicatrização ocorre após a cirurgia no local onde estavam as amígdalas. NÃO É INFECÇÃO!!!
Sangramento: pode ocorrer após a cirurgia, pequenos filetes de sangue na saliva podem ser encontrado. Caso ocorram sangramentos em grandes quantidades que não cessam expontaneamente contate imediatamente o seu medico e retorne ao hospital em que foi operado.
Dor: todos os pacientes que passam pelo procedimento se queixam de muita dor na garganta! Pode ocorrer dor no ouvido (dor reflexa), dor no pescoço ou na mandíbula. A dor mais intensa e começa a melhorar após 7 dias, com melhora total dentro de 14 a 20 dias. Faça uso dos analgésicos prescritos.
A Dra. Renata Lopes Mori é médica credenciada, assim como sua equipe, nos melhores hospitais de São Paulo que oferecem toda a infraestrutura e equipamentos para uma ótima cirurgia e recuperação.








A opção de reembolso de consultas e procedimentos é excelente, RESPEITA o paciente e VALORIZA o médico. O paciente não é obrigado a ir ao médico referenciado. Você pode escolher o médico de sua confiança.
O plano de reembolso é reconhecido por lei como aquele em que o usuário escolhe livremente o prestador de serviço, sendo reembolsado de acordo com seu contrato. Muitas vezes o médico pode atender pelo valor do seu reembolso, com cheque pré-datado para o dia do depósito. É necessário apenas perguntar.
O mais importante para o sucesso de qualquer tratamento é a adesão às orientações médicas, que sempre ocorrem como resultado do relacionamento médico-paciente.
Exerça seu direito: Escolha seu médico e valorize seu atendimento.
Dra. Renata Mori | Otorrinolaringologista | CRM 105537 RQE 54325
Todos os direitos reservados. Política de Privacidade. Site desenvolvido por ![]()